นพ.มนูญ ลีเชวงวงศ์ แพทย์เฉพาะทางด้านโรคระบบการหายใจ โรงพยาบาลวิชัยยุทธ โพสต์อุทาหรณ์ เตือนภัยใกล้ตัวเคสผู้ป่วยที่ได้รื้อหนังสือเก่าๆที่บ้านไปทิ้ง สุดท้ายพบว่ามีอาการป่วย ปอดติดเชื้อ เนื่องจากเชื้อราที่อยูในหนังสือเก่าเข้าสู่ปอด
ข่าวที่เกี่ยวข้อง
- งานหนังสือเริ่มแล้ว! "มหกรรมหนังสือระดับชาติ" ส่องรายละเอียดน่าสนใจ
- 'มหกรรมหนังสือระดับชาติ' ครั้งที่ 27 ณ ศูนย์สิริกิติ์ มีกิจกรรมอะไรบ้าง
- ชวนเดินงาน "มหกรรมหนังสือระดับชาติ" ครั้งที่ 27
ภัยใกล้ตัว เวลารื้อหนังสือเก่าๆในบ้านนำไปทิ้ง
ผู้ป่วยชายอายุ 79 ปีเตรียมย้ายบ้านที่บางแค กทม.ไปอยู่คอนโด ให้คนในบ้าน 2 คนรื้อหนังสือเก่าๆที่เก็บสะสมไว้มากกว่า 20 ปี กระดาษหนังสือเปลี่ยนเป็นสีน้ำตาลเพื่อนำไปทิ้ง และเก็บไว้เพียงบางเล่ม ผู้ป่วยนั่งอยู่ในห้องหนังสือเป็นเวลา 2 ชั่วโมงขณะรื้อหนังสือ โดยไม่ได้ใส่หน้ากากอนามัย เมื่อวันที่ 16 กันยายน 2565 หลังจากนั้น 9 วันเริ่มมีไข้ ไอแห้งๆ เหนื่อยบ้าง
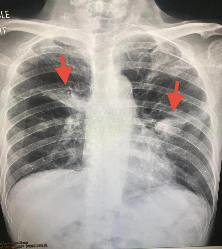
ผู้ป่วยเป็นโรคเส้นประสาทอักเสบแบบระยะเรื้อรัง (Chronic inflammatory demyelinating polyradiculoneuropathy หรือ CIDP หรือโรคซีไอดีพี) ทำให้แขนขาชาและอ่อนแรง 3 เดือน กำลังรักษาด้วยยาสเตียรอยด์ขนาดสูงและยากดภูมิเซลเซ็ป (cellcept) ตรวจร่างกาย มีไข้ อุณหภูมิ 38.1 องศาเซลเซียส ฟังเสียงปอดปกติ เอกซเรย์ปอดผิดปกติทั้ง 2 ข้าง ทำคอมพิวเตอร์สแกนปอด พบโพรงเล็กๆในบริเวณปอดที่มีปื้นสีขาวหลายตำแหน่งในปอดทั้ง 2 ข้าง

ส่องกล้องเข้าไปดูในปอด พบเสมหะสีขาวเล็กน้อย ส่งเสมหะที่ดูดจากหลอดลมไปตรวจ ย้อมพบเชื้อราสาย ไม่พบวัณโรค เพาะเชื้อราขึ้นแอสเปอร์จิลลัส ฟูมิกาทัส (aspergillus fumigatus) และ aspergillus spp อีกตัวหนึ่งไม่ทราบสปีชี่ส์ ส่งน้ำล้างปอดวัดระดับ bronchial aspergillus galactomannan ให้ผลบวก ยืนยันการติดเชื้อรา aspergillus
สรุป : ผู้ป่วยรายนี้มีภูมิคุ้มกันบกพร่องจากกินยาสเตียรอยด์และยากดภูมิ ติดเชื้อรา aspergillus จากการสูดดมหายใจสปอร์ของเชื้อรา aspergillus ที่เจริญงอกอยู่ในเนื้อกระดาษที่ชื้นของหนังสือเก่าๆลอยออกมาในอากาศขณะหนังสือถูกรื้อ เข้าไปในปอด ทำให้เกิดโรคแอสเปอร์จิลโลสิส ปอดติดเชื้อราแอสเปอร์จิลลัสชนิดรุกราน (invasive pulmonary aspergillosis)
ให้การรักษาด้วยยาฆ่าเชื้อรา ชนิดกินวอริโคนาโซล (voriconazole) คนไข้ค่อยๆดีขึ้น คนที่ช่วยย้ายหนังสือ ไม่มีใครป่วย ถึงจะสูดดมสปอร์ของเชื้อรา เพราะสุขภาพแข็งแรง มีภูมิต้านทานดี
คำแนะนำ : ขอให้คนที่ร่างกายอ่อนแอ มีโรคประจำตัว มีภูมิคุ้มกันต่ำ ใส่หน้ากากอนามัยเวลารื้อหนังสือเก่าๆในบ้าน หรือทางที่ดีที่สุด หลีกเลี่ยงอยู่ในห้องที่กำลังรื้อหนังสือ เพราะอาจหายใจเอาสปอร์ของเชื้อราเข้าปอด ทำให้ติดเชื้อราในปอดได้



CR เฟซบุ๊ก นพ.มนูญ ลีเชวงวงศ์
เตือนภัยใกล้ตัว รื้อหนังสือเก่าไปทิ้ง ป่วยเชื้อราเข้าปอด ปอดติดเชื้อ - กรุงเทพธุรกิจ
Read More
No comments:
Post a Comment